1. Diễn đàn SEO chất lượng, rao vặt miễn phí có PA, DA cao: chuanmen.edu.vn | okmen.edu.vn
    Dismiss Notice
  2. Hiện tại diễn đàn không cho phép đăng các thông tin về game bài cờ bạc theo yêu cầu của VNNIC mong các bạn thông cảm!
    Dismiss Notice

Chữa, dự phòng bệnh viêm quanh răng



NHÀ TÀI TRỢ CHÍNH:

* diễn đàn SEO miễn phí
* Lắp cửa tự động – Cửa cổng tự động châu âu bảo hành 3 năm
* Công ty lắp đặt Cửa Tự Động, Cổng Tự Động tại thành phố Hồ Chí Minh
* Thi công lắp đặt cổng tự động tại hcm
* Đại lý cửa tự động tại Tp. Hồ Chí Minh nhập khẩu chính hãng
Hiện tại diễn đàn không cho phép đăng các thông tin về game bài cờ bạc theo yêu cầu của VNNIC mong các bạn thông cảm!

Thảo luận trong 'Rao Vặt Khác' bắt đầu bởi marcoexo05, 11/5/17.

  1. marcoexo05
    Offline

    marcoexo05 admin

    (Website tài trợ bởi: cong tu dong)
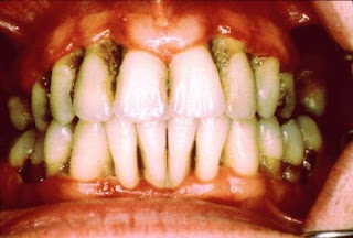
    Cần đi từng bước có thứ tự và hợp lý với những biện pháp nhằm loại bỏ những triệu chứng và dấu chứng của bệnh, phục hồi sức khỏe cho mô nha chu. Tùy theo từng hình thể lâm sàng ta có kế hoạch điều trị cụ thể.

    1. Viêm nướu

    - Hướng dẫn vệ sinh răng miệng

    - Điều trị các sang thương cấp tính

    - Cạo cao răng trên và ưới nướu

    [​IMG]

    - Loại bỏ các vị trí gây tích lüy tập trung mảng bám răng: sửa chữa những yếu tố tại chỗ gây bất thường cho mô nha chu (miếng trám dư, phục hình sai..).

    - Xử lý bề mặt gốc răng hay cạo láng gốc răng

    - Điều trị tạm thời các răng sâu

    - Nhổ những răng bất lợi hay không còn hy vọng điều trị bảo tồn.

    2. Viêm nha chu phá hủy và suy nha chu

    - Là bệnh không hoàn nguyên vì thế mục đích của việc điều trị là chặn đứng sự phát triển của bệnh.

    - Kế hoạch cụ thể: bao gồm điều trị viêm nướu (từ bước 1 đến bước 7) phối hợp điều trị nha chu:

    o Cố định các răng lung lay và di chuyển

    o Mài điều chỉnh khớp cắn
    o Phẫu thuật nha chu

    o Phục hình các răng mất

    o Hẹn tái khám để điều trị duy trì (3 - 4 tháng một lần)

    Dự phòng bệnh nha chu

    - Mục đích của việc dự phòng bệnh nha chu là bảo vệ răng cho từng người hoặc cho nhiều người trong cộng đồng để răng tồn tại suốt đời càng nhiều răng càng tốt. Chúng ta biết, nguyên nhân của bệnh nha chu là mảng bám vi khuẩn, mảng bám gây ra viêm nướu và từ đó mới phát triển thành nhiều hình thức bệnh nha chu khác. Loại bỏ mảng bám để điều trị viêm nướu hay để phòng ngừa viêm nướu phải là mục tiêu chính của mọi biện pháp dự phòng bệnh nha chu.

    Dự phòng cấp 0

    - Phối hợp với các cấp chính quyền, các ngành nâng cao mức sống của nhân dân trong cộng đồng về mặt văn hóa xã hội kinh tế. Tuyên truyền phòng bệnh (chải răng kỹ sau khi ăn, chế độ inh ưỡng thích hợp, không ăn vặt...).

    Dự phòng cấp 1

    - Khi bệnh chưa xảy ra

    o Giáo dục sức khỏe để cải thiện vệ sinh răng mệng: hướng dẫn phương pháp chải răng; cách ùng chỉ nha khoa, tăm xỉa răng, xoa nắn nướu.

    o Khám răng và cạo cao răng định kỳ, phát hiện sớm những tổn thương.

    o Trám răng sâu, sửa chữa những phục hình sai, miếng trám sai kỹ thuật, sửa chữa những thói quen xấu như mút tay, cắn chỉ.

    http://trimunsieutoc.blogspot.com/2017/05/chua-du-phong-benh-viem-quanh-rang.html
    http://tuvanniengrangdep.blogspot.com/2017/05/chua-du-phong-benh-viem-quanh-rang.html
     

    Nguồn: batdongsan24h.edu.vn

Chia sẻ trang này