1. Diễn đàn SEO chất lượng, rao vặt miễn phí có PA, DA cao: chuanmen.edu.vn | okmen.edu.vn
    Dismiss Notice
  2. Hiện tại diễn đàn không cho phép đăng các thông tin về game bài cờ bạc theo yêu cầu của VNNIC mong các bạn thông cảm!
    Dismiss Notice

Bọc răng sứ cũng có thể thay đổi sắc trắng cho răng nhiễm màu



NHÀ TÀI TRỢ CHÍNH:

* diễn đàn SEO miễn phí
* Lắp cửa tự động – Cửa cổng tự động châu âu bảo hành 3 năm
* Công ty lắp đặt Cửa Tự Động, Cổng Tự Động tại thành phố Hồ Chí Minh
* Thi công lắp đặt cổng tự động tại hcm
* Đại lý cửa tự động tại Tp. Hồ Chí Minh nhập khẩu chính hãng
Hiện tại diễn đàn không cho phép đăng các thông tin về game bài cờ bạc theo yêu cầu của VNNIC mong các bạn thông cảm!

Thảo luận trong 'Rao Vặt Khác' bắt đầu bởi tieukieutth, 5/7/19.

  1. tieukieutth
    Offline

    tieukieutth admin

    (Website tài trợ bởi: cong tu dong)
    Phủ răng sứ nano là gì ?

    Không phải ai cũng có thể phủ răng sứ NANO mà chỉ thực hiện được cho những hàm răng đều và không nhấp nhô thôi.

    Với những tình huống có vấn đề về khớp cắn sẽ không thể khắc phục bằng mặt dán sứ NANO LAMINATEđược. Ví dụ như răng khấp khểnh, răng hô chìa, móm,… Căn cứ vào tình trạng thì sẽ có kế hoạch điều trị thích hợp như bọc răng sứ hoặc niềng răng, phẫu thuật chỉnh hình răng và nướu,…

    Bọc răng sứ có tác dụng gì ?

    Bọc răng sứ giúp tái tạo, khắc phục các khiếm khuyết răng hỏng, răng hư tổn một cách hiệu quả về hình dáng, kích thước, răng sứ sau khi phục hình giống răng tự nhiên.

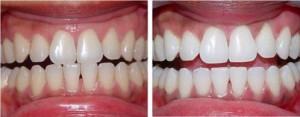
    Răng sứ có màu sắc thật, nên với những hàm răng bị nhiễm màu nặng, sau khi bọc sứ có thể có hàm răng trắng sáng hơn rất nhiều, không khác gì so với tẩy trắng răng.[​IMG]

    Bọc răng sứ cũng có thể thay đổi sắc trắng cho răng nhiễm màu

    *** Lưu ý: Hình ảnh KH thực hiện dịch vụ tại nha khoa VIET SMILE. Hiệu quả có thể khác nhau tùy thuộc từng trường hợp khách hàng.

    Với những răng bị sâu nặng, vỡ lớn thì mô răng thật còn lại ít và rất yếu hoặc răng đã chữa tủy thì răng sẽ yếu, giòn và dễ gãy vỡ, bọc răng sứ là phương pháp hiệu quả để bảo vệ răng trước tác động của vi khuẩn, giúp răng bền chắc và tồn tại lâu hơn trên cung hàm.

    Dán răng sứ được bao lâu ?

    Dán răng sứ Veneer thẩm mỹ đòi hỏi kỹ thuật cao và trình độ cao tay nghề điêu luyện, độ kín khít của mặt dán với mô răng thật có thể đạt tỷ lệ tuyệt đối. Nhờ thế, công nghệ làm mặt dán sứ Veneer chiều sẽ bám chắc vào răng vĩnh viễn, không bị bong rơi ngay cả khi chịu lực nhai lớn.
     

    Nguồn: batdongsan24h.edu.vn

Chia sẻ trang này